Understanding Normal and Dangerous Heart Rate

heart and stethoscope
19 December, 2024

The human heart is a vital organ that works tirelessly to pump blood and sustain life every second. One key indicator of heart health is the heart rate at which your heart beats. Heart rate is defined as the number of times the heart beats per minute.

Monitoring heart rate gives an insight into your cardiovascular health. One must understand the difference between a normal heart rate and a potentially dangerous one.

In this blog, we will explore a healthy heart rate, identify factors that can influence it, discuss signs that may indicate a problem, and offer guidance on when to seek medical attention.

What is Considered a Normal Heart Rate by Age? 

PR Bpm displayed in the oximeter stands for pulse rate and beats per minute. Let’s have a look at what is considered a normal heart rate.

  • Adults’ normal resting heart rate ranges between 60 and 100 beats per minute (BPM). However, heart rate varies, possibly due to many factors. Heart rates can differ due to factors such as age, physical fitness, and individual health conditions.
  • Children typically have higher heart rates than adults. On the other hand, athletes and physically active people may generally have lower heart rates below 60 BPM due to increased cardiovascular efficiency.
  • A healthy heart rate range can vary slightly from person to person, so understanding your baseline heart rate can be beneficial. Regularly measuring your heart rate at rest can help establish your average heart rate.
  • Heart rate naturally fluctuates throughout the day, and several factors, such as emotions, physical activities and environmental conditions, can cause this. For example, stress, caffeine intake, and physical exertion can temporarily increase heart rate, while relaxation or meditation may decrease it.

Factors That Influence Heart Rate

Heart rate is not static. Many internal and external factors influence its speed and rhythm throughout the day. Key factors include:

  • Physical activity: Exercise temporarily raises heart rate. This happens as the heart pumps more blood to meet the body’s high oxygen demand.
  • Emotional state: Stress, anxiety, and excitement lead to the release of adrenaline, which triggers an increase in heart rate.
  • Caffeine, alcohol, nicotine: Caffeine, nicotine, and certain medications can elevate heart rate.
  • Age and fitness level: Generally, heart rate decreases with age and improves with higher cardiovascular fitness levels.
  • Health conditions: Including anaemia, thyroid disorders, and fever, which can cause heart rate fluctuations.

Understanding these influences can help you determine whether an unusual change in heart rate is due to temporary factors or if it warrants medical attention.

What is a Dangerous Heart Rate? 

While heart rate varies normally, certain extremes can signal potential cardiovascular issues. Generally, a heart rate that consistently exceeds or falls below normal ranges can be concerning. Some of the most common heart rate irregularities include:

Tachycardia

A heart rate exceeding 100 BPM at rest is called tachycardia. Persistent tachycardia can increase the risk of conditions like stroke and heart attack. When such a condition arises due to exercise or stress, it is called sinus tachycardia.

Tachycardia Causes

Underlying heart diseases, stress, consuming more caffeine or alcohol and more. 

Bradycardia

A resting heart rate below 60 BPM may be classified as bradycardia, especially if accompanied by dizziness and fatigue. 

Bradycardia Causes

Underlying heart diseases, heart surgery, inflammation and much more. 

Arrhythmia

Arrhythmia, also known as dysrhythmia or irregular heartbeats, may signify an underlying heart condition. Some arrhythmias may be harmless, while others require medical evaluation. 

Arrhythmia Causes

Extreme blood sugar levels, caffeine, alcohol, certain medications, physical activities, stress and more. 

If you notice that your heart rate frequently reaches these extremes, or if you experience symptoms like chest pain, shortness of breath, or fainting, it may be a sign of something more concerning, and it is advisable to consult a doctor.

Common Symptoms which Indicate Heart Rate Problems

Unusual heart rate patterns often present with additional symptoms that may indicate a cardiovascular issue. Common warning signs include:

  • Chest pain or discomfort: Chest pain is a major sign of a serious issue, especially if it is accompanied by shortness of breath.
  • Shortness of breath: Difficulty breathing and discomfort may indicate some underlying issues. It might hint that the heart is struggling to pump blood.
  • Dizziness: Lightheadedness and dizziness are common symptoms in both bradycardia and tachycardia.
  • Fatigue: Persistent exhaustion can result from the heart’s inability to maintain a stable rhythm and beat properly.
  • Palpitations: Palpitations and fluttering heartbeats can be alarming. Rapid heartbeat may be a warning sign for arrhythmias.

Recognising these symptoms at an early stage makes a significant difference. Catching the health condition on the onset helps address potential issues before they become more severe.

Causes of Abnormal Heart Rates

Abnormal heart rates can arise from a variety of causes. Some of the factors include:

  • Heart condition: Heart diseases, heart failure, or cardiomyopathy may be some heart conditions that can lead to irregular heart rates.
  • Lifestyle: Chronic stress, poor dietary choices, lack of exercise, and mismanaged alcohol consumption also contribute to abnormal heart rates.
  • Medications: If you are taking medications like beta-blockers and treatments for thyroid, it can also be a contributing factor influencing heart rate.
  • Underlying health conditions: Physical health conditions like thyroid, anaemia, and diabetes can also impact your heart rate.

Understanding the underlying cause of your abnormal heart rate is essential to determine the right treatment for your case. Medical adjustments or even simple lifestyle changes can often help regulate heart rate.

When to Seek Medical Opinion?

While the heart rate rises and falls throughout the day, it is crucial to know when the changes in heart rate need medical attention. Look out for these symptoms and consult a doctor.

  • Sudden, severe symptoms: Persistent chest pain, extreme shortness of breath, or fainting.
  • Persistent abnormalities: Heart rate abnormalities that do not resolve independently or recur frequently.
  • Symptoms accompanied by other illness indicators: If the abnormal heart rate is accompanied by nausea, sweating, or pain spreading to the arm, jaw and shoulder.

Seek an opinion from a healthcare provider in these instances, especially if these symptoms persist. Diagnosing any concerning health issues at the right time can prevent more serious future complications. Especially for those with pre-existing health issues, the factor of time becomes important.

Diagnostic Tests for Heart Rate Issues

If your heart rate shows abnormalities, your doctor may recommend diagnostic tests to determine the cause and guide treatment options. Common tests include:

  • Electrocardiogram (ECG or EKG): Measures the heart’s electrical activity.
  • Holter monitor: A Holter Monitor is a portable device that records heart rate over 24–48 hours.
  • Stress test: The stress test assesses how the heart responds to physical exertion.
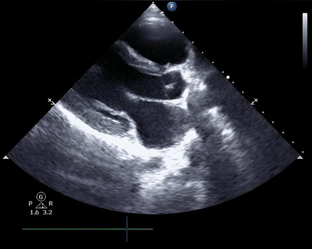
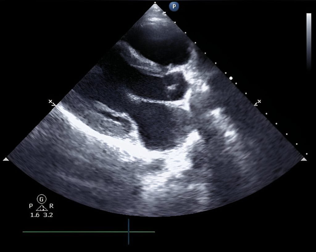
  • Echocardiogram: An Echocardiogram or the echo test uses ultrasound to provide the heart’s detailed images of heart structure and function. This helps determine any abnormalities in the heart.

These tests are essential as they help diagnose the underlying causes of an abnormal heart rate.  

Echocardiogram

Treatment and Prevention of Abnormal Heart Rates

  • Medications: The doctor may recommend beta-blockers, calcium channel blockers, and medication for antiarrhythmic according to the cause of irregular heartbeat.
  • Lifestyle changes: Lifestyle changes like adding regular exercise to your daily routine, eating a balanced diet, stress management, and avoiding nicotine are necessary to maintain a healthy heart rate and take care of your overall well-being.
  • Medical procedures: In severe cases, using pacemakers, defibrillators, or other procedures may be the answer to regulating heartbeat.

Atrius Cardiac Care for Heart Health 

Understanding what accounts for a normal versus dangerous heart rate is crucial to preventing major conditions. The right timing of when to consult a healthcare provider can make a tremendous difference in preventing heart-related complications and adjusting the right medication.

If you notice persistent or severe symptoms of abnormal heart rate, contact Atrius Cardiac Care today. Regular checkups and proactive management of your lifestyle will help maintain a normal heart rate and act as a lifeline.

Consider scheduling an annual check-up to monitor your heart health and catch any potential issues early. Protect your heart by staying informed and vigilant and making heart-healthy choices daily. Book your appointment now!