Pacemakers 101: Everything You Need to Know

Home / Blogs / Pacemakers 101: Everything You Need to Know

Pacemakers 101: Everything You Need to Know

By Atrius Cardiac Team in About Atrius Jul 25, 2024

A healthy heart is crucial for a long and active life, but when the heart’s natural rhythm is disrupted, medical intervention becomes essential. One of the most effective solutions for managing irregular heart rhythms is the pacemaker. At Atrius Cardiac Care, we are dedicated to providing top-tier pacemakers services, ensuring that our patients receive the best care possible.

Understanding the Natural Pacemaker

The heart’s natural pacemaker, known as the sinoatrial (SA) node, is responsible for maintaining the heart’s rhythm by generating electrical impulses. These impulses travel through the heart, causing it to contract and pump blood effectively.

The SA node is the heart’s natural conductor, ensuring a steady and reliable beat.

However, when the natural pacemaker fails or the heart’s rhythm becomes erratic, an artificial pacemaker may be necessary to restore normal function.

Pacemaker Functions and Uses

A pacemaker is a small device implanted in the chest to help regulate the heart’s rhythm. It monitors the heart’s electrical activity and, when necessary, sends electrical impulses to stimulate a heartbeat.

Key Functions of a Pacemaker

  • Restoring Heart Rhythm: Corrects slow or irregular heartbeats.
  • Managing Heart Conditions: Treats conditions like bradycardia (slow heart rate) and heart block.
  • Improving Quality of Life: Reduces symptoms like fatigue and fainting.

How Does a Pacemaker Work?

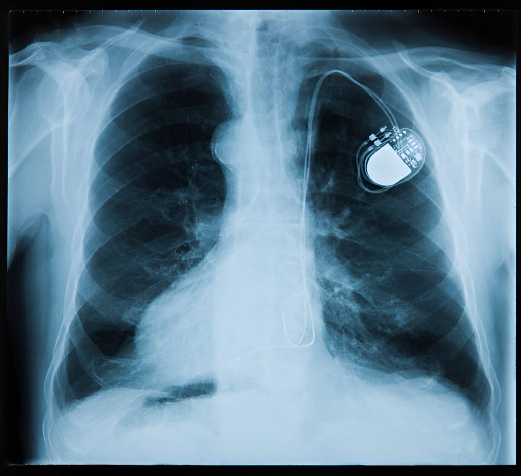
A pacemaker consists of a pulse generator (battery and electronic circuitry) and leads (wires) that connect the device to the heart. The pacemaker rhythm is adjusted to meet the specific needs of the patient, ensuring the heart beats at a normal rate.

A pacemaker is a lifeline for those with irregular heart rhythms, restoring normalcy and improving overall health.

Different Types of Pacemakers

Pacemakers come in various types, each designed to address specific cardiac issues. Understanding these types helps in choosing the most suitable device for each patient.

Single-Chamber Pacemaker or VVIR

This type uses one lead, usually placed in the right ventricle, to control the heart’s rhythm.

Dual-Chamber Pacemaker or DDDR

A dual-chamber pacemaker has two leads, one in the right atrium and one in the right ventricle, allowing for more synchronized heart rhythms.

Biventricular Pacemaker

Also known as cardiac resynchronization therapy (CRT), this type has three leads placed in the right atrium, right ventricle, and left ventricle to improve the coordination of the heart’s contractions.

Temporary Pacemaker

A temporary pacemaker is used for short-term heart rhythm regulation, often during hospital stays or after certain types of surgery.

Choosing the right type of pacemaker is crucial for optimal heart health and patient comfort.

Comparison of Pacemaker Types

Pacemakers come in various types, each designed to address specific cardiac issues. Understanding these types helps in choosing the most suitable device for each patient.

Single-Chamber Pacemaker

A single-chamber pacemaker uses one lead, usually placed in the right ventricle, to control the heart’s rhythm. This type of pacemaker is often used for patients with bradycardia or simple heart block, where only one chamber’s rhythm needs regulation.

Dual-Chamber Pacemaker

A dual-chamber pacemaker has two leads, one in the right atrium and one in the right ventricle, allowing for more synchronized heart rhythms. This type is beneficial for patients with advanced heart block or atrial fibrillation, ensuring that both chambers of the heart work together effectively.

Biventricular Pacemaker

Also known as cardiac resynchronization therapy (CRT), a biventricular pacemaker has three leads placed in the right atrium, right ventricle, and left ventricle. This type of pacemaker improves the coordination of the heart’s contractions, making it suitable for patients with heart failure or cardiomyopathy.

Temporary Pacemaker

A temporary pacemaker is used for short-term heart rhythm regulation, often during hospital stays or after certain types of surgery. It provides short-term rhythm control for patients recovering from surgery or experiencing acute heart issues.

Costs and Pricing

The cost of a pacemaker varies depending on the type, the hospital, and the region. It’s essential to consider these factors when planning for pacemaker implantation.

Pacemaker Cost Breakdown

  • Device Cost: The price of the pacemaker device itself.
  • Surgery Cost: Fees for the surgical procedure, including hospital stay and surgeon fees.
  • Aftercare: Costs for follow-up appointments and monitoring.

Typical Pacemaker Costs

  • Pacemaker Cost in Private Hospital: Can range from ₹8,00,000 to ₹40,00,000.
  • Pacemaker Price in India: Approximately ₹1,00,000 to ₹5,00,000.
  • Medtronic Pacemaker Price List: Varies based on model and features, usually between ₹4,00,000 and ₹16,00,000.

Understanding the costs involved helps in making informed decisions about pacemaker implantation.

Who Needs a Pacemaker?

Pacemakers are typically recommended for individuals with certain heart conditions that affect the heart’s rhythm and overall function.

Indications for a Pacemaker:

  • Bradycardia: Abnormally slow heart rate.
  • Heart Block: Disruption in the electrical signals between the heart’s chambers.
  • Atrial Fibrillation: Irregular and often rapid heart rate.
  • Heart Failure: To improve heart function and coordination.

Pacemaker Age Limit

There is no strict age limit for pacemaker implantation. Both young and elderly patients can benefit from a pacemaker, depending on their specific heart condition.

Pacemakers are vital for individuals experiencing significant heart rhythm issues, regardless of age.

Life Expectancy and Pacemaker

Life expectancy after pacemaker implantation can be significantly improved, with many patients living long, healthy lives. The device helps manage symptoms and prevent complications, enhancing overall quality of life.

A pacemaker can significantly improve life expectancy and quality of life for those with heart rhythm issues.

Precautions After Pacemaker Surgery

After pacemaker implantation, certain precautions are necessary to ensure the device functions correctly and to avoid complications.

Post-Surgery Precautions

  • Avoiding Magnetic Fields: Keep away from strong magnetic fields, such as MRI machines.
  • Activity Restrictions: Limit strenuous activities and avoid lifting heavy objects for a few weeks.
  • Monitoring Symptoms: Regularly check for symptoms like dizziness, shortness of breath, or swelling, and report them to your doctor.

Long-Term Precautions

  • Regular Check-ups: Schedule regular follow-up appointments to monitor the pacemaker’s function.
  • Medications: Follow prescribed medications and inform your doctor of any new drugs.
  • Lifestyle Changes: Adopt a heart-healthy lifestyle, including a balanced diet and regular exercise.

Following precautions after pacemaker surgery is crucial for ensuring the device’s longevity and optimal performance.

Things You Can’t Do with a Pacemaker

  • Avoid Close Contact with Cell Phones: Keep cell phones at least six inches away from the pacemaker.
  • Avoid High-Impact Sports: High-impact sports can dislodge the device or leads.
  • Avoid Certain Medical Procedures: Procedures like MRI scans should be avoided unless your pacemaker is MRI-safe.

Adhering to post-surgery precautions ensures a smooth recovery and long-term pacemaker function.

Pacemakers are life-saving devices that help manage heart rhythm issues, significantly improving patients’ quality of life. With advancements in technology, modern pacemakers are more efficient and reliable, offering numerous benefits to those in need.

A pacemaker is a beacon of hope for those with irregular heart rhythms, restoring normalcy and enhancing life quality.

Why Choose Atrius Cardiac Care?

At Atrius, we are committed to providing comprehensive cardiac care, including expert pacemaker implantation and management. Our team of experienced cardiologists and state-of-the-art facilities ensure the best possible outcomes for our patients.

Expertise and Experience

Our cardiologists are highly trained in pacemaker implantation and management, ensuring precision and care in every procedure.

Advanced Technology

We use the latest pacemaker technology, including devices from the best pacemaker companies like Medtronic pacemaker, ensuring reliability and effectiveness.

Patient-Centric Approach

We prioritize patient comfort and convenience, providing personalized care plans and continuous support throughout the treatment journey.

Comprehensive Aftercare

Our aftercare services include regular monitoring, follow-up appointments, and guidance on precautions after pacemaker surgery to ensure long-term health and well-being.

Choose Atrius for unparalleled cardiac care and support, ensuring your heart health is in the best hands.

For more information or to schedule an appointment, visit Atrius Cardiac Care. Let us help you take the next step towards a healthier heart and a better life.